Save Your Teeth with Root Canal In Mexico
Endodontics is one of the most performed
procedures at our clinic. Through this treatment, we
can save your tooth from being extracted and
prevent you from needing a more expensive
restorative treatment such as dental implants.
Thanks to the experience of our endodontists, root
canals have around a 97 % of success rate among
our patients. The sooner you decide to come with us,
the more likely your dental treatment will be
successful and long-lasting.
When is a Root Canal Therapy Necessary?
Many of our patients need root canal treatment, and they don’t know it until their tooth infection becomes too severe and painful.
If you suffer from pain when chewing,
hypersensitivity in your tooth, halitosis, or a dark
colored tooth you might be presenting s root canal
symptoms that need to be treated.
TOP BENEFITS OF GETTING A ROOT CANAL TREATMENT IN MEXICO
Avoids the need for tooth extraction
Restores the function of your tooth
Allows restoring your tooth's appearance
Eliminates dental pain and sensitivity
Prevents more serious dental infections
Helps you to save money
Can last over 15 years
Our Approach to Your Endodontic Treatment
At Ocean Dental Cancun
PAINLESS DENTAL PROCEDURE
Pain during your root canal procedure will not be a concern. Our endodontists work with local anesthesia to avoid any painful sensation during any endodontic treatment you undergo.
DONE BY ROOT CANAL DENTISTS
Your entire treatment plan and restoration will be carried out by one of our endodontic and prosthodontic dental specialists for the restoration of your tooth.
RESTORATIVE FOLLOW-UP
After treating your tooth with endodontics, we will help you recover its esthetics and functionality through restorative treatments such as dental fillings or crowns.
OUT PATIENT TREATMENT
A great advantage of root canal treatment is that it is a minimally invasive process, so you will be able to leave our clinic once your treatment is finished. Recovery only takes a few days.
How Much Does a Root Canal Cost In Mexico?
Having root canal therapy In Mexico can save you hundreds or thousands of dollars in the short term. Consider that dental implant treatments are usually much more expensive and time-consuming, plus it’s never worth losing a tooth if it can be saved by a specialist. The root canal cost in mexico can be found from $350 USD per tooth.
ROOT CANAL THERAPY COST IN MEXICO
$350 USD
Per Tooth
ROOT CANAL RETREATMENT COST IN MEXICO
$450 USD
Per Tooth
POST & CORE
BUILD-UP COST IN
MEXICO
$150 USD
Per Tooth
APICOECTOMY SURGERY COST IN MEXICO
$350 USD
Per Tooth
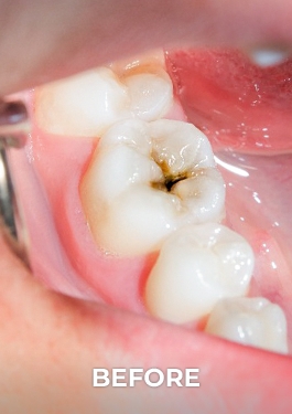
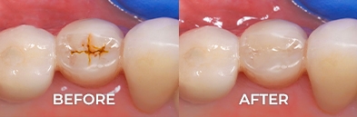
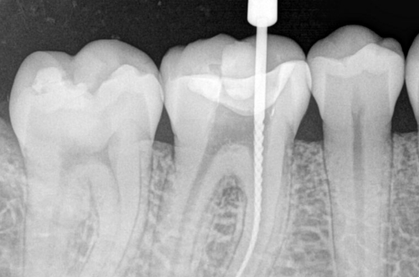
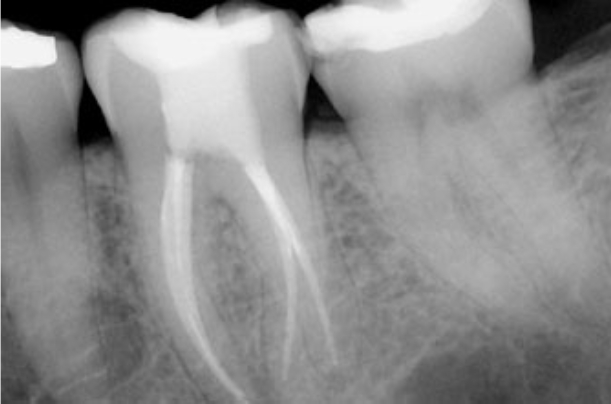
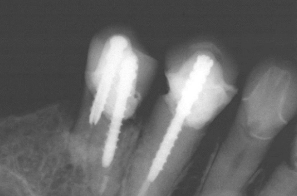
Root Canal Before and After in Mexico
Want to regain confidence in your smile? Our root canal gallery shows you real results: root canal pictures before and after that tell stories of transformation. Leave the pain and worry behind, and welcome a radiant, healthy smile. With our team of endodontic experts, each case is approached with care and precision, guaranteeing results that will take your breath away.
It takes 60 min Root Canal Mexico. To Save Your Tooth!
Getting root canal therapy Mexico is quick, and easy. We can help you to keep your teeth functional and healthy. Get a free pre-evaluation today.
Send your message and a dental advisor will contact you as soon as possible. You can ask for more info, a quote, or an appointment.
Types of Root Canal Treatments
Available at Ocean Dental
There are several treatments related to root canal therapy. Depending on the condition of your tooth, you may
require one or the other. Through a complete evaluation, a root canal dentist will be able to determine which is the ideal endodontic treatment for you.
Non-Surgical Root Canal
Conventional Endodontics
This is the most common root canal procedure, where the infected tooth pulp is removed and replaced with high-bonding resin and then the tooth is restored with crowns or fillings.
Root Canal Retreatment
To Fix a Root Canal Failure
In the event that you have already had a root canal, and you are still in pain or your restoration has failed, a root canal retreatment will be performed to reseal and restore your tooth properly.
Post & Core Build-Up
In Case a Crown Is Needed
Post and core build-up helps to guarantee the functionality and support of a dental crown in case you need it, after undergoing root canal therapy or root canal retreatment.
Get a Root Canal & a Crown and Save Hundreds per Tooth!
Root Canal Therapy Step by Step
What To Expect When Having A Root Canal in Mexico?
Do I Need a Crown After Root Canal?
Getting a dental crown after root canal therapy is an excellent way to preserve and protect a healthy tooth. However, not every tooth treated with endodontics needs a full crown. Depending on the damage to your tooth, our dentists will determine what kind of restoration is suitable.
For example, if an untreated cavity went deep into your tooth, a composite filling is better, but if your tooth suffered more damage on its cusps, insides, and sides, a tooth crown will be the right choice.
When To Get A Crown After Root Canal?
There is damage on the cusps
Most of the tooth is broken
Tooth aesthetics are compromised
You suffered from a dead tooth
If the tooth is loose
The treated tooth is a molar
A previous root canal failed
Recover Your Oral Health Abroad
Come to Cancun and leave with much healthier and better-looking teeth than ever before. We can help you in record time. Send your message and a dental advisor will contact you as soon as possible to start your dental vacation in Cancun.
Copyright © 2025 All Rights Reserved by Cancun Dental Specialists by Ocean Dental | Privacy Policy


















